ABOUT US
Register
or
Sign in
Menu
ANATOMICAL SITE
Ankle
Foot
Forefoot
Hindfoot
Hip
Knee
Long/Small Bones
Midfoot
PATHOLOGY
Arthritis
Artificial Hip Joint Displocation
Bunionette
Charcot
Flat foot
Fracture
Hallux Valgus
Hammer toe
Jones Fracture
Knee Arthritis
Lisfranc
Metatarsalgia
Syndesmosis
Trauma
PROCEDURE
Akin
Arthroplasty
Arthroresis
Arthroscopy
Basal
Bi-cruciate Retaining Knee Arthroplasty
Cotton
DCO
Evans
Fracture Reduction
Fusion
Lapidus
Lisfranc
MDCO
Osteotomy
Syndesmotic Repair
Total Hip Arthroplasty
Total Knee Arthroplasty
Trauma
Weil
COMPANY
Acumed
Arthrex
Biomet Orthopedics
Crossroads Extremity
Extremity Medical
Flower Orthopedics
Fusion Orthopedics
Globus Medical
GmReis
In2Bones
Jeil Medical
Medartis
Medline Industries
Neosteo
Newclip Technics
Nextremity Solutions
Novastep
Ortho CAPE
Ortho Solutions
Ossio
Paragon 28
Restor3d
RetroFix
Smith & Nephew
Treace Medical Concepts
Trice Medical
Trilliant Surgical
Trimed
Tyber Medical
Vilex in Tennessee
Search
News
New
Jan 28, 2026
👍❤️ 0
Comments 0
Multistage Limb Salvage for Septic Ankle
Kyle McKray Smith, DPM, FACFAS
#CaseHighlight: Multistage Limb Salvage for Septic Ankle A 70-year-old male presented with a septic ankle and an ulcer tracking to bone after...
Read more
Jan 19, 2026
👍❤️ 0
Comments 0
How to Resurface the Patella?
Jochen G. Hofstaetter
How to resurface the patella? In TKA, personalized alignment of the femoral and tibial component is the way to go. If one resurfaces the...
Read more
Jan 17, 2026
👍❤️ 0
Comments 0
Ankle Fracture with Intercalary Fragments - Update
Maximilian Heitmann
Following up on my previous post that showed the preoperative CT slices. https://lnkd.in/e74BVTPn See also this previous case discussion...
Read more
Jan 14, 2026
👍❤️ 0
Comments 0
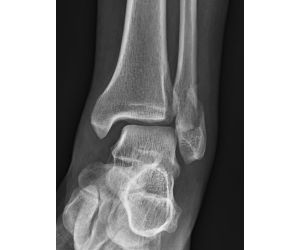
Syndesmotic Injury - What Would You Do?
Spencer Keane, DPM
46 yo F walks into clinic. Previously diagnosed with b/l ankle arthritis and has been wearing lace up ankle braces for over a year. Left ankle is...
Read more
Jan 13, 2026
👍❤️ 0
Comments 0
What if Quadriceps Alignment was variable?
Dr. Simon Talbot
Welcome to the very first video in my series on Quadriceps Alignment. These will be very short videos, but it looks like there might be quite a lot...
Read more
Jan 12, 2026
👍❤️ 0
Comments 0
Ankle Arthroscopy and
MIFAS
In some situations, direct repair of the lateral ankle ligaments is not feasible. In these cases, ligamentoplasty becomes necessary, with a clear...
Read more
Jan 11, 2026
👍❤️ 0
Comments 0
Progressive collapsing foot deformity with tibiotalar arthritis… a challenging problem
Jordan Sisto, DPM, FACFAS
Here we have a 69 y/o male with staged TAA on right that led to AVN talus and collapse which ultimately was revised to TTTA with great success -...
Read more
Jan 2, 2026
👍❤️ 0
Comments 0
Opioid Consumption Patterns Before and After Elective Total Joints
Vinod Dasa MD
Over a 4 y period (2018-2022) analyzing almost 9k patients at Kaiser washington, 9% of hip/knee replacement patients who are opioid naive going...
Read more
Jan 2, 2026
👍❤️ 0
Comments 0
Achilles Tendinopathy
Dr. Patrick DeHeer, DPM
Achilles tendinopathy is one of the most frustrating problems we treat—patients hurt, rehab drags on, and tendon surgery isn’t trivial. This...
Read more
Jan 2, 2026
👍❤️ 0
Comments 0
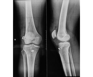
Can You Diagnose an ACL/PCL Tear by X-Ray?
Dr. Satvik N Pai
Here are three inconspicuous looking X-Rays of patients after a fall. Looks fairly normal on first glance. But what if i told you we can diagnose...
Read more
Jan 2, 2026
👍❤️ 0
Comments 0
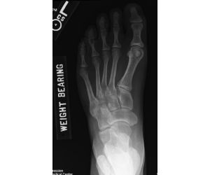
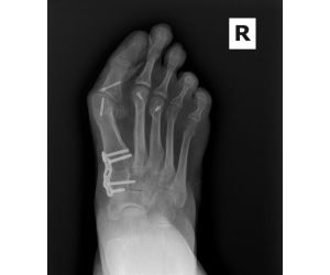
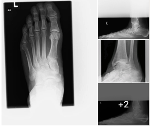
Correcting MIS Lapidus
Dr. Kris Di Nucci
MIS surgeons — here is a patient who presents 10 months after an MIS Lapidus arthrodesis. She reports recurrence of her bunion and mild sesamoid...
Read more
Dec 30, 2025
👍❤️ 0
Comments 0
Patella Instability and Lateral Entry to the Trochlea
Dr. John Fulkerson
Understanding lateral entry to the trochlea helps greatly in planning patella instability surgery —finding the entry point requires 3-D imaging so...
Read more
Prev
1
2
3
4
Next
Go to page